یکی از افرادی که کاندیدای ارتودنسی هستند این است که ترمیم دندان قبل از ارتودنسی یا بعد از ارتودنسی انجام شود؟ بسیاری از بیماران دارای دندان های پوسیده، پر شده یا شکسته هستند و نمیدانند بهترین زمان برای ترمیم دندان چه زمانی است. تصمیم اشتباه در این مورد می تواند باعث طولانی شدن درمان ارتودنسی، افزایش هزینه ها و حتی آسیب به دندان ها شود.
در این مقاله به طور کامل بررسی می کنیم که ترمیم دندان قبل از ارتودنسی یا بعد از ارتودنسی کدام انتخاب صحیح تری است و هر کدام در چه شرایطی توصیه می شود.
قرار است مطالعه کنیم ...
Toggleترمیم دندان به مجموعه اقداماتی گفته می شود که برای بازسازی ساختار آسیب دیده دندان انجام می گیرد. این اقدامات شامل پر کردن دندان، ترمیم پوسیدگی، بازسازی شکستگی، تعویض ترمیم های قدیمی و گاهی درمان ریشه است. سلامت دندان ها پایه اصلی موفقیت درمان ارتودنسی محسوب می شود و بدون ترمیم صحیح، ارتودنسی نتیجه مطلوبی نخواهد داشت.

درمان ارتودنسی تنها به مرتب کردن دندان ها محدود نمی شود، بلکه نیازمند سلامت کامل دندان و لثه است. وجود پوسیدگی فعال یا ترمیم های نامناسب می تواند باعث درد، عفونت و توقف درمان شود. به همین دلیل یکی از اولین مراحل قبل از نصب براکت ها، بررسی این موضوع است که ترمیم دندان قبل از ارتودنسی یا بعد از ارتودنسی باید انجام شود.
در بسیاری از بیماران، ترمیم دندان قبل از ارتودنسی یک ضرورت محسوب می شود و قابل به تعویق انداختن نیست.
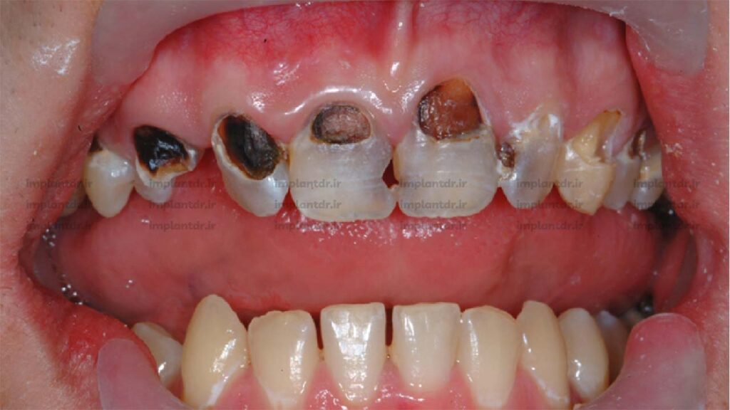
اگر دندانی دچار پوسیدگی فعال باشد، حتما باید قبل از شروع ارتودنسی ترمیم شود. نصب براکت روی دندان پوسیده می تواند باعث پیشرفت سریع پوسیدگی و آسیب جدی به ساختار دندان شود. در این شرایط پاسخ به این سوال کاملا مشخص است و ترمیم باید قبل از ارتودنسی انجام شود.

دندان هایی که درد دارند یا دچار آبسه و عفونت هستند، قبل از ارتودنسی باید درمان شوند. ارتودنسی روی دندان عفونی نه تنها خطرناک است، بلکه ممکن است کل درمان را متوقف کند.
پرکردگی های شکسته یا بسیار قدیمی باید قبل از ارتودنسی اصلاح شوند. این ترمیم ها در طول درمان ارتودنسی ممکن است جدا شوند و باعث درد یا التهاب شوند.
در صورتی که دندانی نیاز به درمان ریشه داشته باشد، این درمان باید قبل از ارتودنسی انجام شود. پس از درمان ریشه و ترمیم نهایی، دندان می تواند به طور ایمن وارد درمان ارتودنسی شود.

خیر. همه ترمیم ها الزاما نباید قبل از ارتودنسی انجام شوند. پاسخ به سوال ترمیم دندان قبل از ارتودنسی یا بعد از ارتودنسی کاملا وابسته به نوع ترمیم و طرح درمان ارتودنسی است.
در شرایط زیر انجام ترمیم دندان بعد از ارتودنسی انتخاب منطقی تری است:
ترمیم هایی مانند باندینگ، کامپوزیت زیبایی و اصلاح شکل دندان بهتر است بعد از ارتودنسی انجام شوند. زیرا موقعیت نهایی دندان ها پس از ارتودنسی مشخص می شود و انجام ترمیم قبل از آن ممکن است نیاز به اصلاح مجدد داشته باشد.

اگر دندان فقط دچار لب پریدگی جزئی یا فاصله خفیف باشد و مشکل عملکردی نداشته باشد، می توان ترمیم را به بعد از ارتودنسی موکول کرد تا نتیجه زیبایی دقیق تر حاصل شود.
در بسیاری از بیماران، ارتودنسی بخشی از درمان اصلاح طرح لبخند است. در این موارد، ترمیم دندان بعد از ارتودنسی باعث هماهنگی بهتر رنگ، شکل و اندازه دندان ها می شود.
یکی از دغدغه های بیماران این است که آیا ترمیم دندان باعث طولانی شدن درمان می شود یا خیر. اگر ترمیم های ضروری قبل از ارتودنسی انجام نشوند، احتمال توقف درمان در میانه مسیر بسیار بالا می رود. این موضوع می تواند زمان درمان را بیشتر از حالتی کند که ترمیم دندان قبل از ارتودنسی یا بعد از ارتودنسی به درستی برنامه ریزی شده باشد.

تصمیم نهایی باید با نظر متخصص ارتودنسی و دندانپزشک ترمیمی انجام شود. متخصص ارتودنسی با بررسی عکس رادیوگرافی، وضعیت لثه و موقعیت دندان ها، بهترین زمان ترمیم را مشخص می کند.
در بسیاری از کلینیک های تخصصی، درمان ارتودنسی و ترمیمی به صورت تیمی انجام می شود تا بهترین نتیجه حاصل گردد.
در برخی شرایط خاص، ترمیم دندان در حین ارتودنسی انجام می شود. مثلا اگر در طول درمان پوسیدگی جدیدی ایجاد شود یا ترمیم قبلی آسیب ببیند، دندانپزشک می تواند با هماهنگی متخصص ارتودنسی، ترمیم لازم را انجام دهد. با این حال این حالت ایده آل نیست و بهتر است از ابتدا درباره ترمیم دندان قبل از ارتودنسی یا بعد از ارتودنسی تصمیم درستی گرفته شود.
برخی بیماران به دلیل نگرانی از هزینه یا زمان، ترمیم دندان را به تعویق می اندازند. این کار می تواند باعث بروز مشکلات جدی در حین ارتودنسی شود. همچنین انجام ترمیم های زیبایی قبل از ارتودنسی بدون مشورت با متخصص، یکی از اشتباهات رایج است که منجر به نارضایتی از نتیجه نهایی می شود.
سایر مقالات: ارتودنسی با مینای دندان ضعیف
نمی توان یک پاسخ ثابت به این سوال که ترمیم دندان قبل از ارتودنسی یا بعد از ارتودنسی انجام داد، دهیم. ترمیم های درمانی و ضروری مانند پوسیدگی، عفونت و درمان ریشه باید قبل از ارتودنسی انجام شوند، اما ترمیم های زیبایی و اصلاحی معمولا بهتر است به بعد از ارتودنسی موکول شوند. مهمترین نکته، مشورت با متخصص ارتودنسی و داشتن یک طرح درمان دقیق و هماهنگ است.
با تصمیم گیری صحیح درباره زمان ترمیم، می توان درمان ارتودنسی را با خیال راحت، در زمان مناسب و با بهترین نتیجه ممکن به پایان رساند.