بهترین روش ارتودنسی سوالی است که بسیاری از افراد قبل از شروع درمان از خود می پرسند. انتخاب روش مناسب نه تنها به زیبایی لبخند کمک می کند، بلکه سلامت دندان ها و فک را نیز تضمین می کند. در این مقاله انواع ارتودنسی و مزایا و معایب هر روش را بررسی می کنیم تا بتوانید با آگاهی کامل روش مناسب خود را انتخاب کنید.
قرار است مطالعه کنیم ...
Toggleبه طور کلی دو نوع ارتودنسی داریم که در ادامه به آن ها اشاره خواهیم کرد:
| نوع ارتودنسی | توضیحات |
|---|---|
| ارتودنسی ثابت معمولی (فلزی) | براکت های فلزی استاندارد، متصل با سیم و کش |
| ارتودنسی سرامیکی | براکت های شفاف یا همرنگ دندان، سیم از بین آن ها رد می شود |
| ارتودنسی دیمون | براکت ها خودتنظیم (لغزشی) هستند و نیاز به تنظیم مکرر کمتر است |
| ارتودنسی پشت دندانی (لینگوال) | براکت ها در پشت دندان نصب می شوند |
| ارتودنسی فانکشنال | پلاک برای اصلاح عقب یا جلو بودن فک ها |
| ارتودنسی نامرئی (اینویزیلاین) | پلاک شفاف، مشابه روکش محافظ دندان |
| پلاک متحرک با فنر Z | پلاک برای جلو آوردن دندان های عقب رفته |
| پلاک نگهدارنده (ریتینر) | استفاده پس از پایان درمان برای حفظ نتیجه |
این ارتودنسی دندان بر اساس جنس و سیستم به کار رفته در آن به چند نوع تقسیم می شود.
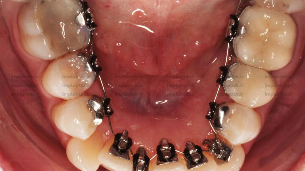
در بریسهای فلزی معمولا از همان براکت های فلزی استاندارد استفاده می شود که رایج ترین نوع بریس هستند. بریسها همگی به وسیله ی سیم ارتودنسی به هم متصل می باشند و با سیمانی خاصی به روی دندان نصب می شوند. سیم و براکت ها هم به وسیله کش های ارتودنسی به هم وصل می شوند. این روش از نظر مستحکم بودن می تواند بهترین روش ارتودنسی باشد.

این نوع ارتودنسی همانند نوع فلری است با این تفاوت که از براکت های شفاف یا همرنگ دندان به جای براکت های فلزی استفاده می شود،که سیم های فلزی از بین آنها رد می شود. روی بریس های ارتودنسی سرامیکی از کش های سفید یا رنگی استفاده می شود تا براکت ها کمتر مشخص باشد. این بریس های شفاف از سرامیک، ماده ای شبیه به شیشه ساخته می شود.

دستگاه ارتودنسی در این روش هم مانند سایر روش ها از سیم های فلزی و براکت ها ساخته می شود، براکت ها در این روش دارای سیستم باز و بسته شدن کشویی و به اصطلاح خود تنظیم هستند. این مکانیزم کشویی دندان ها را به تدریج حرکت می دهد تا آنها را صاف کند. بریس های دیمون از نظر تکنولوژی به کار رفته در آن حرف اول را می زند. چون به دلیل خود تنظیم بودن نیاز به ویزیت های مکرر و تنظیم توسط متخصص ارتودنسی کاهش می یابد. این نوع ارتودنسی بهترین روش ارتودنسی برای افرادی است که می خواهند از جدیدترین نوع ارتودنسی استفاده کنند و در زمان خود صرفه جویی کنند.

بریس های پشت دندانی همانطور که از نامش پیداست در سطح پشتی دندان ها نصب می شوند، به آنها بریس های لینگوال می گویند. بریس های لینگوال شبیه به بریس های فلزی هستند، با این تفاوت که محل قرارگیری بریس های لینگوال پشت دندان ها بوده و بریس های فلزی در سطح جلویی دندان ها نصب می شوند. یکی از مهمترین مزایای بریس های پشت دندانی برای بزرگسالان این است که آن ها می توانند بدون اینکه توجه اطرافیان را جلب کنند به رفع مشکلات ارتودنسی دندان هایشان بپردازند.

دستگاه ارتودنسی متحرک به دندان ها نمی چسبد و می توان آن را در مواقع لزوم از دهان خارج کرد. این نوع ارتودنسی با توجه به سایزهای مختلف دهان طراحی شد اند و به برنامه درمان کمک می کند.
دستگاه ارتودنسی متحرک از صفح های پلاستیکی تشکیل شده که سیم ها از کناره های آن بیرون زده است. این سیم ها به دندان شما میچسبد تا بریس را در جای خود محکم نگه دارد. وجود انواع پلاک ارتودنسی متحرک این روش را به چند نوع مختلف تقسیم می کند.
از پلاک فانکشنال برای عقب کشیدن فک بالا و جلو آوردن فک پایین استفاده می شود. زمانی از این روش استفاده می شود که فک بالا جلو، فک پایین عقب باشد.

در این روش از دو قطعه پلاستیکی استفاده می کنند. این پلاک ها شبیه به روکش ورزشی محافظ دندان هستند. جنس آن ها از مواد پلاستیکی شفاف ساخته می شوند، که قابل مشاهده نیست به همین دلیل آن را نامرئی می خوانند و می توان آن را به عنوان بهترین روش ارتودنسی معرفی کرد.
ارتودنسی نامرئی یا پلاک های شفاف در تمام طول شبانه روز به جز هنگام مسواک زدن باید استفاده شود. در مدتی که پلاک ها پوشیده و تعویض می شوند، دندان ها به تدریج حرکت داده می شوند تا زمانی که نتایج مورد نظر بدست آید.

این روش برای جلو آوردن دندان های عقب رفته کاربرد دارد. این نوع ارتودنسی از یک جز اصلی و کوچک به نام Z یا همان جز فعال به همراه اجزا نگهدارنده آن، تشکیل شده است. این پلاک به دلیل موقعیت نصب به صورت پنهان روی دندان ها قرار می گیرند و از بیرون اصلا مشخص نمی شود.
مرحله نگهداری بعد از ارتودنسی، یک مرحله تکمیلی بسیار مهم است که معمولا با استفاده از ابزارهای مخصوصی به نام پلاک ها و نگهدارنده های ارتودنسی انجام می شود.
نگه دارنده ارتودنسی کاربردش بعد از درمان ارتودنسی خواهد بود، دقیقا پس از پایان درمان ارتودنسی و خارج کردن براکت ها از دهان ریتینر یا نگهدارنده جای آن را خواهد گرفت. به زبان ساده می توان گفت که اگر از پلاک استفاده نکنید، دندان های شما به حالت قبل باز می گردند.
رعایت بهداشت در طول درمان ارتودنسی اهمیت زیادی دارد تا از پوسیدگی دندان، التهاب لثه و کاهش اثربخشی درمان جلوگیری شود.
رعایت این نکات باعث درمان سریع تر و موثرتر و لبخندی سالم و زیبا می شود.

انتخاب روش ارتودنسی مناسب بسته به سن بیمار و نوع مشکل دندانی و فکی متفاوت است.
انتخاب بهترین روش ارتودنسی به شرایط دندان ها، فک، سن بیمار و نوع ناهنجاری بستگی دارد. هر روش ارتودنسی مزایا و معایب خود را دارد و رعایت بهداشت، مراقبت های لازم و همکاری بیمار نقش کلیدی در موفقیت درمان دارند. با مشاوره تخصصی و انتخاب روش مناسب، می توان به لبخندی سالم، زیبا و ماندگار دست یافت.
نوع مشکل دندان و فک، سن، ظاهر دلخواه و تشخیص متخصص مهم ترین عوامل هستند.
خیر، خود بریس ها آسیبی نمی رسانند، اما رعایت نکردن بهداشت و مصرف زیاد مواد شیرین می تواند به دندان ها آسیب بزند.
نه، برخی روش ها سریع تر هستند اما ظاهر یا راحتی بیمار را فدای سرعت می کنند.
معمولا بله، اما بستگی به نوع روش و تجهیزات به کار رفته دارد.
بله، رعایت بهداشت، استفاده صحیح از پلاک ها و مراجعه منظم به متخصص ضروری است.